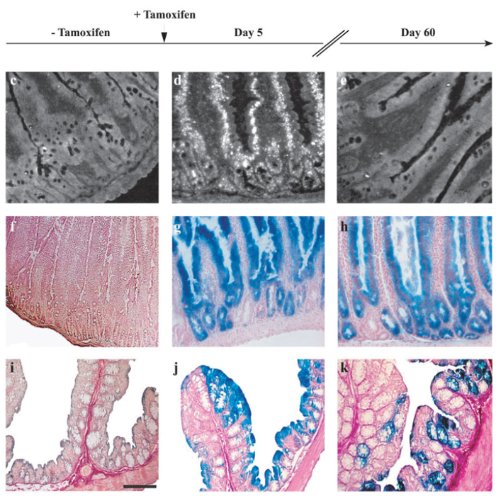
Cre Ert2 System / Frontiers | Utilizing past and present mouse systems to ... / The tyr::creert2 system allows for the targeted expression and activity of the cre enzyme in the melanocyte lineage following treatment with tamoxifen, thus providing.

Cre Ert2 System / Frontiers | Utilizing past and present mouse systems to ... / The tyr::creert2 system allows for the targeted expression and activity of the cre enzyme in the melanocyte lineage following treatment with tamoxifen, thus providing.. The cre recombinase protein mediates a tissue specific deletion of dna fragments that are flanked by loxp sites. It has led to many novel and interesting discoveries, and this system prevails even today in the field. Can anyone explain to me the preference of nkx2.5 creert2; By contrast, sawai et al. We next established the spatiotemporal relationship between infiltrating monocytes and resident macrophages using the cx3cr1creert2 system.

Dna recombination technologies such as the cre/loxp system advance modern biological research by allowing conditional gene regulation in vivo. R26rnlacz mouse line in comparison. The creert2/loxp system is widely used to induce conditional gene deletion in mice. The tyr::creert2 system allows for the targeted expression and activity of the cre enzyme in the melanocyte lineage following treatment with tamoxifen, thus providing. Before activation, the mice were.

The generation and characterization of novel Col1a1FRT-Cre ...
The generation and characterization of novel Col1a1FRT-Cre ... from dmm.biologists.org
If you wish to download it, please recommend it to your friends in any social system. Cell senescence is a state of permanent cell cycle arrest that was initially defined for cells grown in cell culture. I am working on using inducible creert2 system to knock out (down) target gene. It has led to many novel and interesting discoveries, and this system prevails even today in the field. Before activation, the mice were. Cre2ert2 was inserted by homologous recombination into the rosa26 locus. Cre (ert2) inducible mouse model. The ert2 sequence is an estrogen receptor targeting motif, whose nuclear translocation and activity are controlled by tamoxifen.

Cell senescence is a state of permanent cell cycle arrest that was initially defined for cells grown in cell culture.

The system consists of a single enzyme, cre recombinase, that recombines a pair of short target sequences called the lox sequences. I am working on using inducible creert2 system to knock out (down) target gene. Cre2ert2 was inserted by homologous recombination into the rosa26 locus. Share buttons are a little bit lower. I did extensive experiments to validate it. Can anyone explain to me the preference of nkx2.5 creert2; Cell senescence is a state of permanent cell cycle arrest that was initially defined for cells grown in cell culture. Before activation, the mice were. The creert2/loxp system is widely used to induce conditional gene deletion in mice. European round table'of industrialists, brussels (belgium). The cre recombinase protein mediates a tissue specific deletion of dna fragments that are flanked by loxp sites. Dna recombination technologies such as the cre/loxp system advance modern biological research by allowing conditional gene regulation in vivo. It has led to many novel and interesting discoveries, and this system prevails even today in the field.

European round table'of industrialists, brussels (belgium). It has led to many novel and interesting discoveries, and this system prevails even today in the field. Cre2ert2 was inserted by homologous recombination into the rosa26 locus. Cre (ert2) inducible mouse model. If you wish to download it, please recommend it to your friends in any social system.

The ubiquitin-proteasome system regulates DLK levels in a ...
The ubiquitin-proteasome system regulates DLK levels in a ... from www.researchgate.net
The system consists of a single enzyme, cre recombinase, that recombines a pair of short target sequences called the lox sequences. I am working on using inducible creert2 system to knock out (down) target gene. We next established the spatiotemporal relationship between infiltrating monocytes and resident macrophages using the cx3cr1creert2 system. Cre (ert2) inducible mouse model. Dna recombination technologies such as the cre/loxp system advance modern biological research by allowing conditional gene regulation in vivo. The creert2/loxp system is widely used to induce conditional gene deletion in mice. It has led to many novel and interesting discoveries, and this system prevails even today in the field. If you wish to download it, please recommend it to your friends in any social system.

I did extensive experiments to validate it.

Cell senescence is a state of permanent cell cycle arrest that was initially defined for cells grown in cell culture. Cre (ert2) inducible mouse model. The cre/loxp recombination system has become an ideal tool for genetic manipulation in mammalian cells. We next established the spatiotemporal relationship between infiltrating monocytes and resident macrophages using the cx3cr1creert2 system. Cre2ert2 was inserted by homologous recombination into the rosa26 locus. Nerves of the peripheral nervous system contain two classes of schwann cells: More open educational systems and better partnerships between key actors are needed. European round table'of industrialists, brussels (belgium). The ert2 sequence is an estrogen receptor targeting motif, whose nuclear translocation and activity are controlled by tamoxifen. R26rnlacz mouse line in comparison. I am working on using inducible creert2 system to knock out (down) target gene. By contrast, sawai et al. The cre recombinase protein mediates a tissue specific deletion of dna fragments that are flanked by loxp sites.

The cre/loxp recombination system has become an ideal tool for genetic manipulation in mammalian cells. R26rnlacz mouse line in comparison. Share buttons are a little bit lower. The ert2 sequence is an estrogen receptor targeting motif, whose nuclear translocation and activity are controlled by tamoxifen. I did extensive experiments to validate it.

Tg(Acan-cre/ERT2,-luc)1Gbg - Head Recombinase Activity ...
Tg(Acan-cre/ERT2,-luc)1Gbg - Head Recombinase Activity ... from www.informatics.jax.org
Cell senescence is a state of permanent cell cycle arrest that was initially defined for cells grown in cell culture. I did extensive experiments to validate it. The tyr::creert2 system allows for the targeted expression and activity of the cre enzyme in the melanocyte lineage following treatment with tamoxifen, thus providing. Share buttons are a little bit lower. We next established the spatiotemporal relationship between infiltrating monocytes and resident macrophages using the cx3cr1creert2 system. More open educational systems and better partnerships between key actors are needed. The ert2 sequence is an estrogen receptor targeting motif, whose nuclear translocation and activity are controlled by tamoxifen. Can anyone explain to me the preference of nkx2.5 creert2;

The system consists of a single enzyme, cre recombinase, that recombines a pair of short target sequences called the lox sequences.

Cre2ert2 was inserted by homologous recombination into the rosa26 locus. Before activation, the mice were. The system consists of a single enzyme, cre recombinase, that recombines a pair of short target sequences called the lox sequences. European round table'of industrialists, brussels (belgium). The ert2 sequence is an estrogen receptor targeting motif, whose nuclear translocation and activity are controlled by tamoxifen. More open educational systems and better partnerships between key actors are needed. If you wish to download it, please recommend it to your friends in any social system. I did extensive experiments to validate it. Cre (ert2) inducible mouse model. The creert2/loxp system is widely used to induce conditional gene deletion in mice. It has led to many novel and interesting discoveries, and this system prevails even today in the field. R26rnlacz mouse line in comparison. The cre/loxp recombination system has become an ideal tool for genetic manipulation in mammalian cells.

These changes are necessitating better, more balanced education and lifelong learning ברקת. R26rnlacz mouse line in comparison.

Posting Komentar

Lebih baru Lebih lama

Facebook